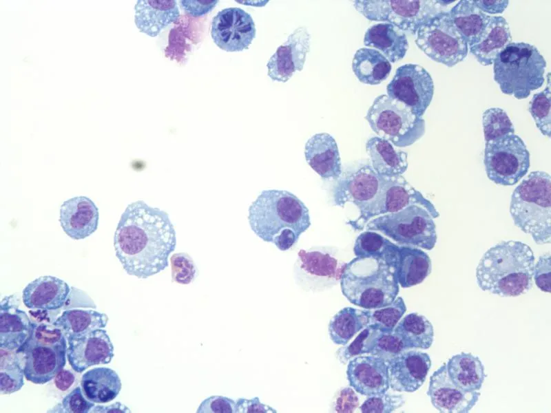
Steve Jenkins is investigating the functional diversity of myeloid cells in tissue homeostasis and immune regulation, with a major focus on the mechanisms that maintain tissue resident macrophages under steady state and inflammatory conditions. Dr Steve Jenkins Reader Centre for Inflammation Research Contact details Website: Academic Profile Website: Research in a nutshell video Work: +44 (0)131 249 9172 Email: Stephen.Jenkins@ed.ac.uk Group MembersDr Richard Cassidy, PhD studentBackgroundMacrophages are innate immune cells that are central to the maintenance, defence and repair of tissues. What regulates the behaviour and survival of macrophages during health and disease and how these can be manipulated to our advantage remains largely unclear? We study these questions with the aim of identifying novel mechanisms that can be targeted to improve tissue repair and resolution of inflammatory and infectious disease.Research Overview1. Origin and inflammationMany organs and tissues contain resident macrophages that arise during embryogenesis and persist into adulthood though self-renewal and longevity, yet in other tissues, macrophages are continually replenished from circulating blood cells called monocytes. The benefit of these self-maintenance vs replenishment strategies remains unclear.We study what regulates the autonomy of embryonic macrophages and the importance of these different origins on the function of macrophages. We have identified that the amount of time a macrophage resides within a tissue is a key factor regulating its function. We have also found that inflammation leads to replacement of long-lived resident macrophages by monocytes and that this subsequently leads to a prolonged change in behaviour of the resident macrophage pool to future stress events. We are current investigating how time-of-residency and origin effect macrophage function, including the importance of age and inflammation-related changes in the tissue microenvironment and the direct effect of inflammatory signals received during differentiation on the future function of recruited monocyte-derived macrophages (innate training). We have identified that competition between established resident macrophages and the new recruits (for as-of-yet unidentified tissue factors) is a key mechanism that controls in-part the effect of time-of-residency.2. Sex-dimorphisms in macrophages.Sex is a major variable effecting inflammation and immunity. We study how sex effects macrophage function across a variety of tissues and how this contributes to sexually dimorphic disease. 3. Harnessing the therapeutic potential of cytokines for tissue repair.Tissue repair requires fine balance between clearing debris, regenerating tissue, and regulating inflammation, and monocytes and macrophages play key and often antagonistic roles in these process. Macrophages exposed to the cytokine IL-4 exhibit pro-reparative and anti-inflammatory functions. IL-4 can also drive proliferation of resident macrophages to generate macrophages locally without need for monocyte recruitment. In contrast, CSF-1 drives generation of macrophages via multiple pathways, including myelopoiesis, prolifertation, and differentiation. We study how these cytokines affect the function and dynamics of macrophages and the broader myeloid lineage during injury and the therapeutic potential for using these to promote tissue repair.The following PDF provides a brief visual summary of this group’s current research. Image Image of a cytospin showing peritoneal macrophages undergoing mitosis following injection of IL-4 Document Jenkins Group graphic summary (804.61 KB / PDF) You can view a full catalogue of graphical research summaries for each group in the Centre for Inflammation Research by visiting our Research page.Visit CIR’s Research pageBiographical Profile1995-1998 Studied BSc Biology at the University of Manchester, UK1999-2003 PhD in Immunoparasitology under the supervision of Dr Adrian Mountford, University of York, UK2003-2007 Post-Doc with Dr Andrew MacDonald, Institute of Immunology and Infection Research, University of Edinburgh, UK, studying the induction of Th2 responses to schistosomes2007-2012 Post-Doc with Prof Judith Allen, Institute of Immunology and Infection Research, University of Edinburgh, UK, studying the biology of macrophages during nematode infections2013 Chancellors Fellowship, Centre for Inflammation Research, University of Edinburgh, UK2016 Tenured Lecturer, Centre for Inflammation Research, University of Edinburgh, UKAlumniManuel Grahammer, MSc student 2014Nick Steers, MSc student 2013Hira Ale, MSc student 2013Catherine Hawley, PhD student 2014-2019Ruairi Lynch, PhD student 2015-2019Amy Robinson, PhD student 2016-2020Pieter Louwe, PhD student 2017-2021Calum Bain, Postdoctoral Research Fellow 2014-2017 Go to the Edinburgh Research Explorer Free link to Science Immunology paper – DOI: https://doi.org/10.1126/sciimmunol.abc4466Sources of FundingMedical Research CouncilMore information on funding at Steve Jenkins' Research Explorer profile. This article was published on 2024-09-10