New study to explore gut 'danger signals' in Inflammatory Bowel Disease (IBD)

April 2018: Dr Gwo-Tzer Ho will collaborate with Genentech to investigate the role of damage-associated molecular patterns (DAMPs) in individuals with Crohn's disease and Ulcerative Colitis, with a goal to develop a new therapeutic approach in IBD.

Image
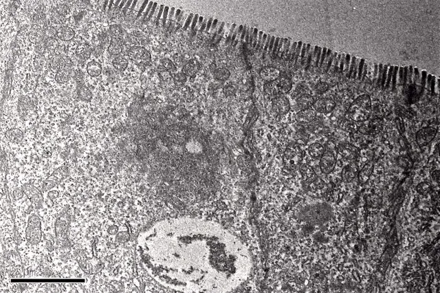
Image of gut cells in inflammatory bowel disease
Gut cells in Inflammatory Bowel Disease

Following injury, for example after a skin cut, the tissue becomes inflamed and then it heals. In IBD, it is not understand why the gut becomes and remains persistently inflamed – 'wounds that do not heal'.

A recent study by Dr Ho has shown that the injured gut cells continuously send out 'danger signals' that activate inflammation. Usually, these danger signals will be switched off after the tissue damage has passed, to allow tissue to heal and the bowels to return to normal function.

In this new study, Dr Ho has teamed up with scientists from Genentech to study whether it is possible to switch off or block these danger signals, and ultimately find a new potential treatment for IBD.

 

Links:

Dr Gwo-Tzer Ho – Research Profile

Genentech (external website)

Crohns & Colitis – About IBD (external website)